Santé et tests génétiques
Dépistage de la dysplasie et des VTL
Dans la liste ci-dessous, vous trouverez tous les documents relatifs au protocole de dépistage de la dysplasie des hanches, des coudes et des vertèbres lombo-sacrées (VTL) chez le Berger Blanc Suisse.
Demande de lecture de radios officielles pour le dépistage de la dysplasie des hanches, des coudes & VTL Modalités d'envoi des dossiers de dépistage de dysplasie HD/ED/VTL Protocole de dépistage de la dysplasie du coude Protocole de dépistage de la dysplasie de la hanche & des VTL Article du Pr GENEVOIS sur les VTL
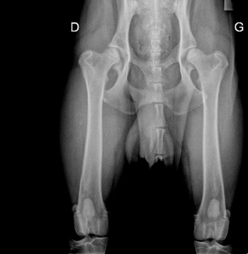
La dysplasie de la hanche (HD)

La dysplasie de la hanche est un fléau dans la plupart des races canines. Elle est décrite dès 1935 mais ne retient l'attention des éleveurs américains que dans la deuxième moitié de ce siècle.
La dysplasie est un terme générique qui concerne toutes les situations de défaut de coaptation des surfaces articulaires et qui se définit comme une affection héréditaire. Ce défaut est l'expression d'une laxité anormale de la tête fémorale dans la cavité acétabulaire. Elle peut être uni ou bilatérale. Elle est d'origine génétique mais avec une héritabilité moyenne, l'environnement jouant un rôle non négligeable.
La laxité articulaire n'est pas synonyme d'arthrose et tous les chiens dysplasiques ne développent pas une arthrose.
Le Lecteur Officiel, choisi par le Club, est chargé de porter un diagnostic de dysplasie ou de non-dysplasie sur les radios de dépistage à partir de 12 mois.
Les diagnostics sont classés selon plusieurs stades :
- Stade A (normal) : aucun signe de dysplasie
- Stade B (presque normal) : quelques imperfections
- Stade C (acceptable) : dysplasie légère
- Stade D : dysplasie moyenne
- Stade E : dysplasie grave
La lecture des radios des hanches stade A, B ou C est obligatoire pour obtenir une cotation 2, 3 ou 4. Pour l'homologation des Titres de Champions de France, seuls les stades A et B sont acceptés.
Les stades D et E n'obtiennent pas le Label HD.
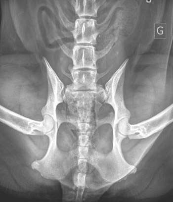
La dysplasie des coudes (ED)

La dysplasie du coude est connue chez de nombreuses races de chiens. Elle touche principalement les chiens de grande race à croissance rapide.
Le terme de dysplasie du coude est apparu en 1993. Il désignait initialement une arthrose généralisée du coude, associée à une non-union du processus anconé. D'autres affections se sont ensuite ajoutées : fragmentation du processus coronoïde médial, ostéochondrite disséquante ou incongruence articulaire.
Une origine génétique a été démontrée, avec une participation importante de l'environnement.
Les diagnostics sont classés selon les stades suivants :
- Stade 0 (normal)
- Stade SL (stade limite)
- Stade 1 (acceptable)
- Stade 2 (moyen)
La lecture des radios stade 0, SL ou 1 est obligatoire pour obtenir les cotations 4, 5 ou 6 et pour l'homologation des Titres de Champions de France.
Seuls les stades 0, SL et 1 obtiennent le Label ED.
Les Vertèbres Lombo-Sacrées (VTL)
Il est désormais possible de demander le dépistage des vertèbres de transition lombo-sacrées (VTL).
DE QUOI S'AGIT-IL ?
Cette anomalie concerne la région terminale de la colonne vertébrale, entre les vertèbres lombaires et le sacrum. Elle peut entraîner des troubles locomoteurs ou des complications articulaires.
POURQUOI DÉPISTER ?
Les VTL sont des anomalies congénitales et héréditaires. Le dépistage permet de limiter leur diffusion dans la race.

COMMENT DÉPISTER ?
Le dépistage se fait par radiographie à partir de 12 mois, dans la même position que la radio de dépistage des hanches.
La classification distingue les VTL0, VTL1, VTL2 et VTL3. Contrairement aux dysplasies, ces catégories correspondent à des types d'anomalies et non à un degré de gravité.
Il est recommandé de favoriser les reproducteurs VTL0.
COMMENT FAIRE LA DEMANDE ?
Le dossier est à constituer dans les mêmes conditions que pour les dysplasies HD et ED. Les résultats sont transmis à la SCC pour enregistrement.
NOTA BENE : Les propriétaires ayant réalisé des radios en 2023 peuvent contacter la commission Dépistage pour étudier la faisabilité du dépistage VTL avec le même cliché.